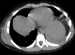
В хирургическое отделение ПК СОКБ после ДТП поступил ребенок с крайне редкой торако-абдоминальной травмой - двухсторонним разрывом диафрагмы с перемещением органов брюшной полости в грудную клетку. Торакотомическим и лапаротомическим доступом произведена пластика диафрагмы с 2х сторон после низведения органов брюшной полости.